MEDICAL HOLD – NOT YET AVAILABLE FOR ADOPTION!
Now, on to the sharing the hard news for BHRR today….. It is important for our members and, extended family to know all the ups and downs and greats and, pits that make up life in the trenches of a r/q Rescue…..
Last week it was BHRR’s Angel Noelle scaring the pants of so many of us – she continues to improve and, is talking back to me big time about her feelings of crate rest!
Today, it was BHRR’s Ani’s turn. She will be approximately 5 years of age come July.
BHRR’s Ani has always loved food and, ever since she became successfully rehabbed at BHRR, getting her to keep her girlish figure has been a work of art.
At one point she weighed just shy of 50 KGs and yikes! Weight loss tme! She was a pleasantly plump weight at 46.90 Kgs and, suddenly she began dropping weight. Her foster home thought it was orginally because they were more active now that winter was over.
Today at KAH, as I brought her in, she weighed a terrble thin 40.7 Kgs…..and, that was 13.64 pounds down. frown emoticon AND, this was a sudden weight loss.
She was raveneous and, she would eat and, almost spit up her food – had blood suddenly in it SUNDAY AM and some Sunday evening – and, her foster mom then called me.
I drove to check her out as I asked her approved temp foster home if she had checked for any broken teeth, abscesses in the mouth etc., the answer was no and, I was on my way!
As soon as I arrived, I was so taken back by the thinness of BHRR’s Ani.
I carefully lifted up her lips and, she winced slightly and, I saw a terrible mass.
I put down her lips and then took them up again and, she winced again. I was once again greeted by a terrible looking mass.
I looked at her foster mom and, asked for a few kibbles and, witnessed for myself how BHRR’s Ani was so hungry and, wanted to eat yet, could not and, as she tried and, would ‘crunch’ on the mass, would hurt, it would bleed, and, she would spit the food out and try to eat it again. My heart began to really break.
I said to her foster home, I had to take her in immediately and, took her to work with me today. They do not do well in Hospitals of any kind. That is when I found her weight confirmed as being way down – to 40.7 Kgs.
I knew we were going to have to sedate her for her Vet to get a proper look at that mass and, see what else was going on in the mouth. The smell was awful.
Yet, she was happy bubbly affectionate BHRR’s Ani despite being so skinny and, with this obvious painful mass in her mouth.
After sedation, the one large mass was examined and found to be barely attached to the gum and was removed and, sent off for pathology.
Then the second mass was found. I have photo’s of both masses – one in the jar and one, that remains in her mouth at this time. The masses were quite close together.
This mass is growing around no less than two of teeth right now.
A puncture biopsy was taken and, it, has also been sent away for pathology. Her Vet was so compassionate and, gave her freezing in her mouth to make things even more comfortable for her. Thank you!
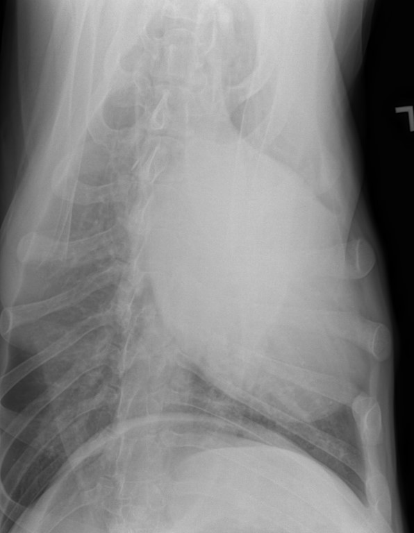
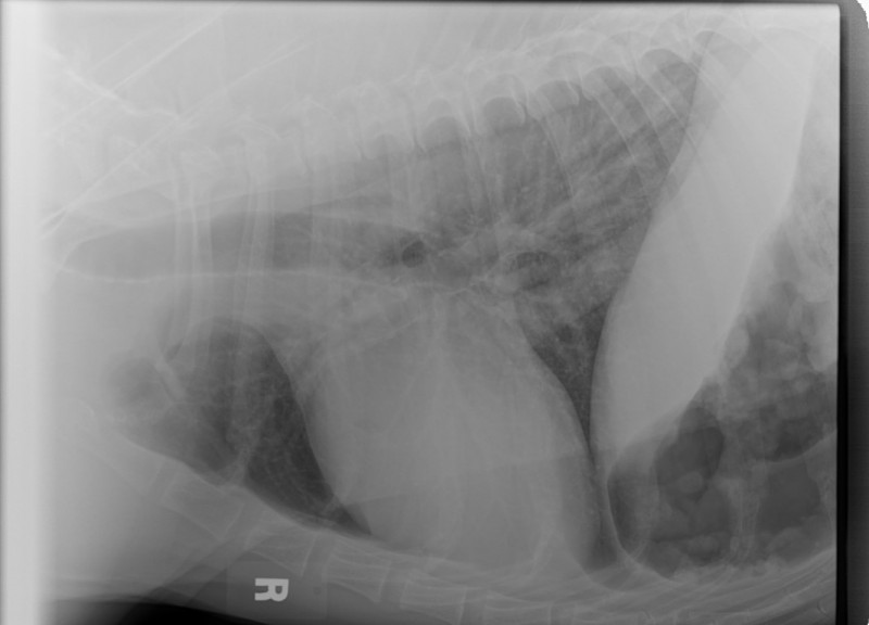
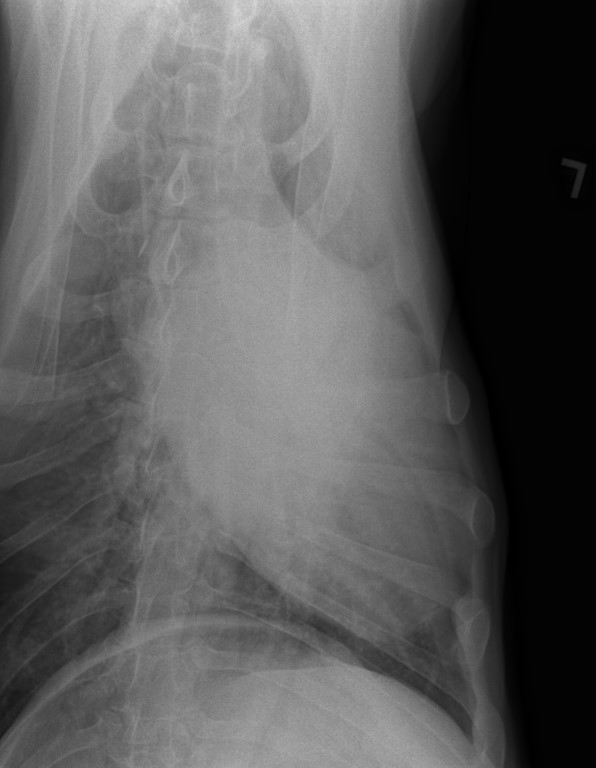
The Vet and I discussed x-days of her chest/lungs for her Vet was not comfortable with the looks of that remaining mass. frown emoticon Nor, with this sudden huge weight loss.
I was so worried gowning up to help with the x-Rays……
Her Vet is worried about a possible firbrosarcoma and, also has deep concern how this second mass is going to even be able to be removed, ‘if’ it even can be. f
The good news is that her lungs, at this time have shown no signs of anything that has metastisized.
I have her x-Rays to post on her blog, photo’s of her masses and, one of a recovering sweet BHRR’s Ani from sedation. She also received a lovely mani/pedi!
We have no right to ask our extended BHRR Fam for financial assistance consideration and, I know that……yet, for the dogs in need of us, any consideration would be embraced with such humbled gratitude.
We would ask that people contact Kanata Animal Hospital directly and they can donate to ‘Ani’ under the Birch Haven Rescue & Rehabilitation Services account. 613-836-2848
Below is a photo of the one mass……the one that was removed.
BHRR’s Ani is back staying with me until we receive the results of her bloodwork and, Histio. Her foster home is equally concerned and worried and, please join us in keeping BHRR’s Ani in the best of thoughts!
Next week has to be a better week…..
The first picture of her mouth with the second mass, after the first mass(in photo below in jar was removed), the puncture biopsy was done on the second mass and, the sutures were placed.
You can see where the first mass was removed also.
If you click on the photo, you can see it enlarged….
Please keep this lovely BBBBB in your thoughts!

BHRR’s Ani recovering from sedation