UPDATE: BHRR's Autumn is not doing well. Crate Rest and lots of meds are not greatly assisting her at this time.
She is understandably weight bearing all on her other leg and with that having also a torn ACL prior to coming to BHRR, it is just not able to keep trying to compensate for both back legs now.
She is not eating well nor drinking normally.
I am worried. I am very concerned.
I have conversed with one of her Vets and so, a new pain management schedule is in place and I said I would give her another 24 hours yet, would be bringing her in as I am worried…..
The swelling plus edema is so bad.
Icing and massaging as per the treatment plan too.
Please, may I ask that all her fans and friends send her positive thoughts and energy.
I adore this dog as much a life itself and I committed from day 1 to her wellbeing and she has come so far in her journey to date and she has a long way still to travel and my wish is for her to be able to travel that journey to a success chain of success chapter one day…..
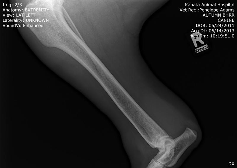
Below are two of her x-rays taken on June 14th, 2013
Thank you from my soul and beyond for any possible consideration to her care……even a $1 donation is super!! ![]()
AND for those looking to donate FROMM FOOD, please note that she has been on FROMM SALMON for many months. She does NOT like the FROMM Whitefish. ![]()
YOU CAN ALSO MAKE BI-WEEKLY AUTOMATIC DONATIONS OR EVEN MONTHLY DONATIONS – HERE
(You do not need a PayPal account either)
People can donate to Kanata Animal Hospital (613) 836-2848and they will take Visa, M/C and AMEX over the phone under the account of 'Birch Haven Rescue' for 'Autumn'. They will take Debit or Cash in person too!
You can also mail donations via a Bank Draft to:
Birch Haven Rescue & Rehabilitation Services
C/O Gwendilin Boers
2425 Totem Ranch Road West
RR#1 Oxford Station, Ontario
K0G 1T0
OR email transfer to gwen@birchhaven.org
OR via PayPal(please use the 'gift' option)
BHRR's AUTUMN's AWESOMEFIED Angels $4,451.81 donated to date & Bills $8,328.36
Anna & Peter
Maggie/Derek – bag of FROMM Whitefish dog food
Rachel
Jan
Kathryne – microchip & to purchase a bag of FROMM Whitefish Dog Food
Liza/Kelly + Gracie – 3 bags of FROMM Whitefish Dog Food
Micaela
Andrea – PayPal took $0.74 in fees
Suzanne
Lesley
Aileen
Paula
Karen
Dawn
Lucie – PayPal took $3.20 in fees
Tauny/Len
Brian
Alice – PayPal took $3.20 in fees
Laurie
Penny
BHRR's Autumn's Emergency Online Fundraiser
BHRR's GIVE It 'UP' 4 Autumn
RCMP's Roll Your Own fundraiser
Gloria
Luc
Monique
John
Marilyn
Mylene
Brent
Cheryl
Sarah
Marie
Anna in honour of her brother George's birthday
Clo
Michelle
Shanna
BHRR's AUTUMN's WishList:
$ towards Vet bills
FROMM – Salmon Dog Food
Dino Smoked Bones
Oatmeal Shampoo
TONS of positive thoughts and vibes
Packing Blankets
**IF I am forgetting any ANGELS, it is completely unintentional and please EMAIL me**

