1) He has ortho issues – possibly a combination of genetic and neglect(poor nutrition, lack of proper exercise and Vet care)
2) He is collapsed in the pasterns and flat footed, bad hips, eastie westie, swollen legs/feet
3) He is battling pneumonia
4) He has the papilloma virus
5) He is inguinal cryptoid
6) Skinny
7) Full of matts
8) Possible Jaw Concern – Abuse? Genetics? Other Trauma?
9) Scared and depressed
UPDATE: BHRR's Moncton's in-house bw was normal, temp was 39.1(so no more fever! YAY!), he was microchipped, heart sounds normal, lungs are doing great on the Doxy for the pneumonia.
I shaved the hair between his toes and underneath his feet after sedation and we could then see how raw the areas are from being licked. Food allergies? Seasonal? Boredom? Stress? Poor Grooming maintenance? We shall work on figuring things out as we go.
I did his nails and, got them nice and short. I took off some more surface matts on him and, will schedule a good grooming session for him as he becomes less stressed. The dry skin and, lots of dirt and, ickies that came off the areas I did on his elbows. Today, I was able to bathe him from his neck to his rump and slightly down his legs with some oatmeal based shampoo. More as he settles in.
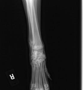
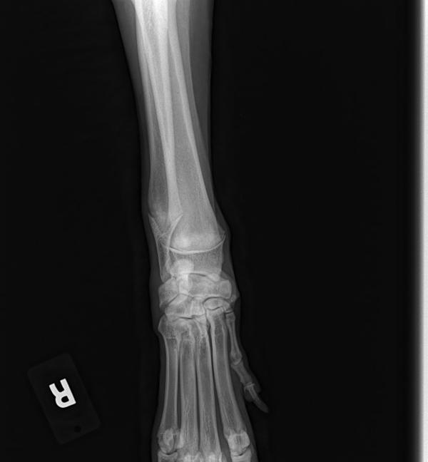
The Vet watched him gait prior to sedation and his hips and gait is really wonky. It is too early to do proper x-rays on his hind end to determine a lot but, under sedation, his Vet got a great look at manipulating his hips and joints and no crepitus noted at this time.
With his collapsed pasterns, flat feet etc. the Ester C should help greatly. With good nutrition, proper vet care and exercise, we should see marked improvement yet, he is a victim to bad genetics(breeding), and sadly, neglected/abused.
His jaw plus teeth had a thorough exam also under sedation and, he has his upper two canines bumping his bottom two canines and, the Vet that is the Hospital pro will also exam him and quite possible, he may need two extractions. The Vet really did a lot of manipulation on his jaw and, it is not quite normal and, they will defer to the expertise of the resident dental pro at KAH.
His eyes are good, no ectropion noted and, the infections are clearly up! 🙂
He has a small growth on his muzzle – closer to his nose area and, that will be taken care of also.
Hope that the second testicle is right under the skin and not up in his abdomen. 🙁
I think that is it for this update…..
AND, thank you SOOOOOOO much to Cynthia, Geoffrey and Heather for donating to his Vet Bills to date!!! Thank you! BHRR's Moncton thanks you also!
YOU CAN ALSO MAKE BI-WEEKLY AUTOMATIC DONATIONS OR EVEN MONTHLY DONATIONS – HERE
(You do not need a PayPal account either)
A file is set up at Kanata Animal Hospital (613) 836-2848 and they will take Visa, M/C and AMEX over the phone under the account of ‘Birch Haven Rescue’ for ‘Moncton’. They will take Debit or Cash in person at 440 Hazeldean Road in Kanata, Ontario
You can also mail donations via a Bank Draft to:
Birch Haven Rescue & Rehabilitation Services
C/O Gwendilin Boers
2425 Totem Ranch Road West
RR#1 Oxford Station, Ontario
K0G 1T0
OR email transfer to gwen@birchhaven.org
OR via PayPal(please use the ‘gift’ option OR the ‘friends and family’ option) OR we shall have to pay service charge fees. ![]()
BHRR’s Moncton's Angels $95.00* donated to date & Bills are
*Before PayPal fees
Cynthia
Geoffrey
Heather H.
Laurie



