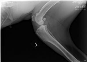
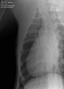
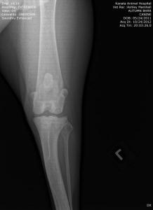
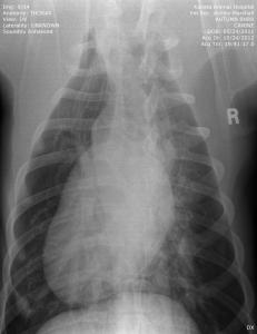
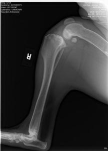
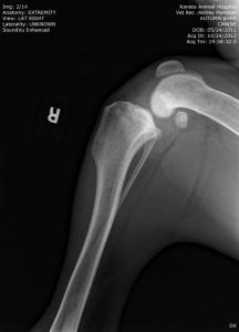
UPDATE: I know I have much to update in BHRR's Autumn's blog and before I go to bed in the wee hours; I shall update her blog plus add photos from her x-rays – taken of both legs, chest, back, legs, heart etc. on October 24th, 2012 and you can find them below! 🙂

YET, today is a very special day for her…..SPAY day! She is still thin, no doubt about that yet, we are in that catch twenty-two….due to the hormones, she continues to lactate and be in a state food going to produce milk instead of putting in weight. YET, being thin, makes it more risky to spay. 🙁 She needs to gain weight yet, cannot really well as she is in this false pregnany hormone out of balance state. So, we are about 10 or so more pounds that we were with her weight and the go ahead has been given to spay.

I am dropping her off between 9-9:30 am at Liston Animal Hospital and shall not rest until I have her again…..the will take über great care of her, I just worry about all the dogs in surgery….YOU can call Liston Animal Hospital should you wish to make a donation direct on her bill, there is still almost $800 owing there! (613) 591-0966

THANKS to all of your support, enough funds have been raised to date to pay off her almost $3,500 in bills and we can also spay her with all monies there to cover her complicatrd spay costs.

From there, we are putting our creative hats on as she will need two cruciate surgeries – $6,000-$7,000+ – and the specialist is still looking at those eyes and what is going to be best….

We are taking it one step at a time for her YET, this was the dog that almost did not make it and she is just literally bull dozing her way through rehab as she works to become 100% healthy!! She still eats like ick….yet, the FROMM SALMON is going so much better!

I remain eternally humbled and touched by all the love given to her!!

AND the monies that shall come our way from the Poochini photo day and the Pet Valu/Chuck Desjardins photo shoot will also go direct to her bills!!
Please think of her tomorrow…..there is nothing 'routine' about this spay. 🙁
 

She has three surgeries ahead of her – a spay and two separate cruciate surgeries and this is in addition to her almost $3,000 bills to date that have been racked up.

Thanks!!!

4055 Carling Av Kanata  Kanata, ON K2K 2A4 (613) 591-0966

   

and they will take Visa, M/C and AMEX over the phone under the account of 'Birch Haven Rescue' for 'Autumn'. They will take Debit or Cash in person too!

You can also mail donations via a Bank Draft to:

Birch Haven Rescue & Rehabilitation Services
C/O Gwendilin Boers
2425 Totem Ranch Road West
RR#1 Oxford Station, Ontario
K0G 1T0

OR email transfer to gwen@birchhaven.org

OR via PayPal(please use the 'gift' option)

BHRR's AUTUMN's AWESOMEFIED Angels  $4,148.81 donated to date & Bills $3,497.98
Anna & Peter

Maggie/Derek – bag of FROMM Whitefish dog food
Rachel
Jan
Kathryne – microchip & to purchase a bag of FROMM Whitefish Dog Food
Liza/Kelly + Gracie – 3 bags of FROMM Whitefish Dog Food

Micaela
Andrea – PayPal took $0.74 in fees
Suzanne
Lesley
Aileen
Paula
Karen
Dawn
Lucie – PayPal took $3.20 in fees
Tauny/Len
Brian
Alice – PayPal took $3.20 in fees
Laurie
Penny
BHRR's Autumn's Emergency Online Fundraiser
BHRR's GIVE It 'UP' 4 Autumn
RCMP's Roll Your Own fundraiser
Gloria
Luc
Monique
John
Marilyn
Mylene
Brent
Cheryl
Sarah
Marie

BHRR's AUTUMN's WishList:
$ towards Vet bills
Dog Coat – XXL
FROMM – Salmon Dog Food
Dino Smoked Bones
Oatmeal Shampoo
TONS of positive thoughts and vibes

Packing Blankets
BHRR's Journey Heart Biscuits
 

**IF I am forgetting any ANGELS, it is completely unintentional and please EMAIL me**